Accessibility Tools

Самокатчики все чаще попадают на операционный стол

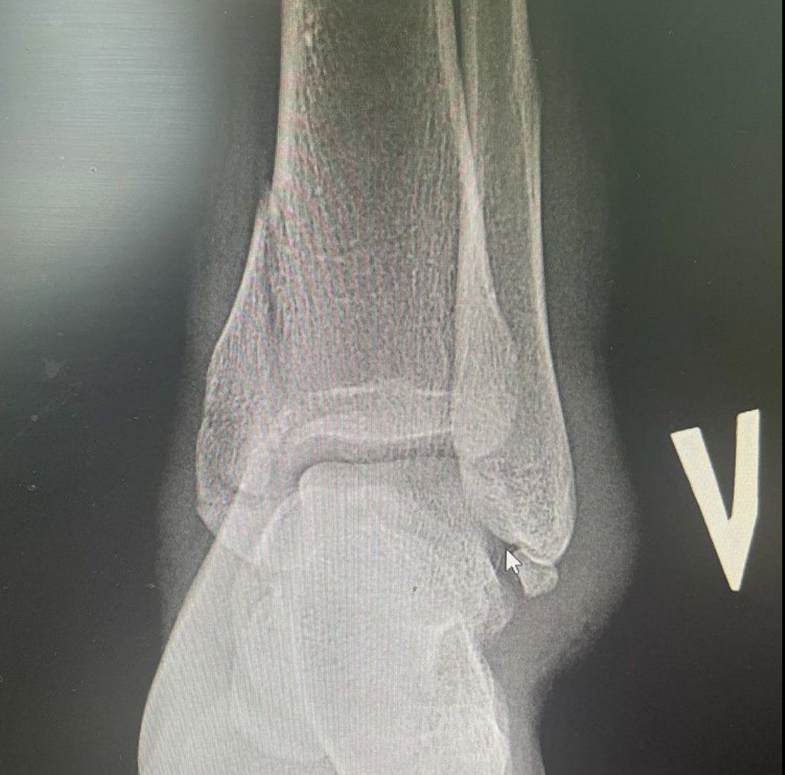
Врач – травматолог – ортопед 7-ой Городской клинической больницы Руслан Ильгизарович Закиров показывает рентген-снимки переломов, которые получили пациенты во время езды на самокате.

Вот снимок мужчины 47 лет, который регулярно пользовался самокатом, поступил в клинику с оскольчатым переломом ключицы. Выполнен остеосинтез пластинной и винтами.

Во втором случае девушка 23 лет получила оскольчатый перелом дистального эпиметафиза большеберцовой кости. Также выполнен остеосинтез пластиновинтами и спицами. Данный случай осложнялся наличием внутрисуставного перелома с импрессией суставной поверхности.

Мода на электросамокаты привела к увеличению обращений к травматологам. Об этом говорят не только в травматологических отделениях 7ой городской больницы. Регулярно обращаются пациенты с травмами после падения с велосипедов, самокатов и моноколес.

- Падение с самоката чаще всего связано с тем, что человек наехал на какое-то препятствие, отвлекся от управления, начал поправлять одежду, наушники или взялся за телефон, - говорит Руслан Ильгизарович.

Падать с велосипеда более опасно, чем с самоката, потому что падаешь с большей высоты. Во время падения с самоката человек «летит» с высоты своего роста и чаще всего травмирует предплечье и область плечевого сустава. Это происходит из-за того, что при падении он вытягивает одну руку в сторону, а второй держит самокат. И всем телом налегает именно на вытянутую руку. По статистике реже самокатчики травмируют ноги, обращаются с ушибами грудного и поясничного отделов позвоночника и черепно-мозговыми травмами.

Как правило, травма после падения с самоката — изолированная. То есть она касается одного органа, а не множества. Например, может быть травмирован коленный сустав.

— Следует отметить, что родители мало уделяют внимания безопасности детей, когда те катаются на самокатах. Если на роликах они катаются в наколенниках, налокотниках и шлемах, то на самокатах — без экипировки. А это неправильно. Садясь на самокат или велосипед, человек должен как минимум надевать шлем. Будьте осторожны, берегите себя, - напомнил Закиров.

 

  • Просмотров: 2309
Яндекс.Метрика
ИМЕЮТСЯ ПРОТИВОПОКАЗАНИЯ, НЕОБХОДИМА КОНСУЛЬТАЦИЯ СПЕЦИАЛИСТА!