Травматологи ГКБ 7 Казани стабилизировали состояние тяжелобольного пациента
Переломы позвоночника – серьезные и, к сожалению, нередкие травмы, способные не только привести к инвалидности, но и унести жизнь человека. Одной из распространенных их разновидностей является перелом позвонков грудного отдела. Среди всех переломов позвоночника на них приходится около 40%.
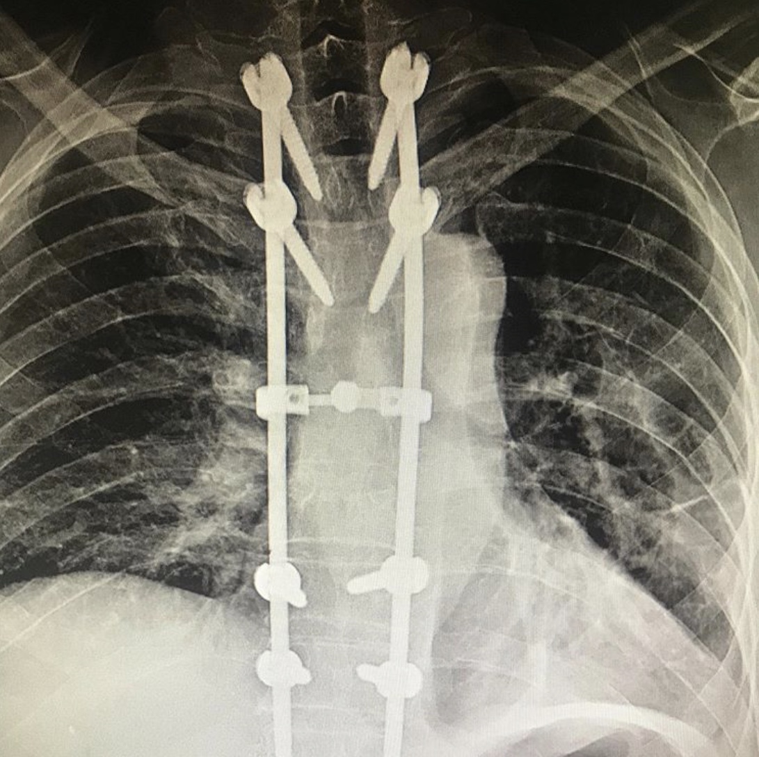
Пациент с нестабильным переломом грудных позвонков, с переломом суставных отростков был экстренно доставлен в Городскую клиническую больницу № 7 Казани. Как сообщает врач – травматолог – ортопед клиники Руслан Ильгизарович Закиров, переломы в данном отделе опасны своими тяжелыми осложнениями, которые представляют угрозу для жизни пациента. Особенно, если они единовременно сочетаются с дополнительными поражениями связок, хрящей, мышц, спинного мозга, нервных структур, кровеносных сосудов и внутренних органов.
После тщательного обследования пациенту была выполнена реклинация и задняя стабилизация транспедикулярной системой: транспедикулярный спондилодез Д3-Д10.
Спондилодезом называют хирургическое вмешательство, являющееся разновидностью артродеза. Целью операции является обездвиживание одного или нескольких позвоночно-двигательных сегментов. Это достигается за счет установки специальных конструкций, которые надежно фиксируют между собой подлежащие сращению позвонки. В результате они со временем они прочно срастаются, что полностью исключает возможность движения и раз
Необходимость в выполнении спондилодеза возникает при многих патологиях позвоночника, которые не поддаются консервативному лечению.
Врачи – травматологи Городской клинической больницы № 7 Казани уже помогли многим сотням больных с различными диагнозами - вернуться к полной движения жизни без боли.
https://www.emckzn.ru/pr/news/467-travmatologi-gkb-7-kazani-stabilizirovali-sostoyanie-tyazhelobolnogo-patsienta#sigProId1edf1535cc
- Просмотров: 2999