Камнепад: эндоскописты провели экстренную операцию на желчном пузыре
Желчнокаменная болезнь – это патологический процесс, который способен на протяжении длительного времени протекать абсолютно бессимптомно. Особенно это касается начальных этапов болезни, когда конкременты еще слишком мелкие, а поэтому не закупоривают желчевыводящие протоки, и не травмируют стенку пузыря.
Первые настораживающие признаки, по которым можно заподозрить желчнокаменную болезнь - это тяжесть в правом подреберье, горечь во рту и тошнота после еды.
Ситуация меняется, когда камень выходит просвет желчного протока и закупоривает его. Отток желчи нарушается, стенки желчного пузыря растягиваются, и человек чувствует сильную боль в правом подреберье или в верхней части живота. Боль может отдавать в спину, правую ключицу и правую руку. Появляется тошнота или рвота.
«Боли могут быть не слишком сильными и нередко прекращаются самостоятельно, но их появление говорит о том, что в организме начался «камнепад» и человеку необходимо обратиться к врачу. Также настороженность должны вызвать пожелтение склер глаз, обесцвеченный кал и потемнение мочи. Ведь камни, пустившись в самостоятельное плавание, могут полностью перекрыть отток желчи и вызвать воспаление желчного пузыря - холецистит, воспаление поджелудочной железы - панкреатит или механическую желтуху», - рассказывает врач- эндоскопист нашей клиники Денис Валерьевич Макаров.
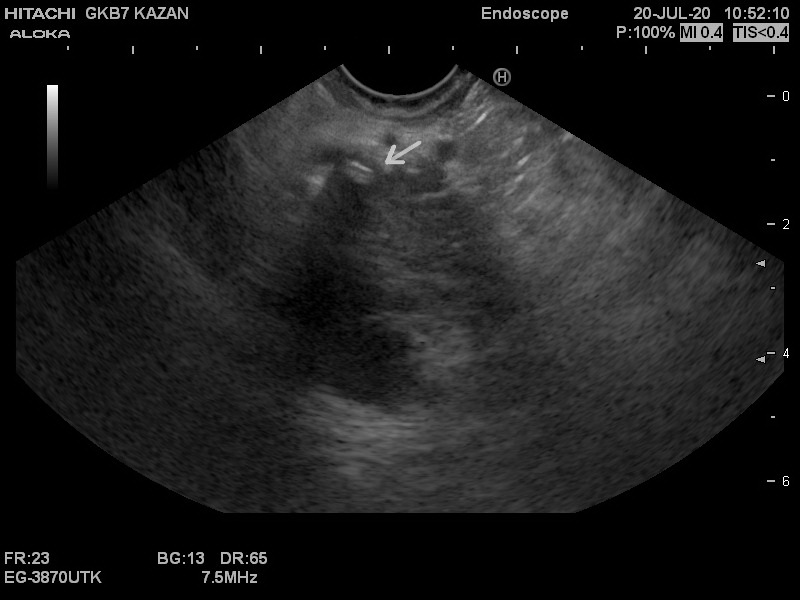
Молодой мужчина именно с такими признаками в экстренном порядке оказался сегодня на операционном столе. Камень, размером 6 мм, перекрывший желчный проток, стал причиной желтухи. Благодаря возможности проведения эндоскопического узи в условиях клиники, данный камень был найден в кратчайшие сроки и удален малоинвазивным эндоскопическим способом, что позволило избежать обширной операции и способствует скорейшему выздоровлению пациента.
https://www.emckzn.ru/pr/news/441-kamnepad-endoskopisty-proveli-ekstrennuyu-operatsiyu-na-zhelchnom-puzyre#sigProId4832a67bda
- Просмотров: 3114